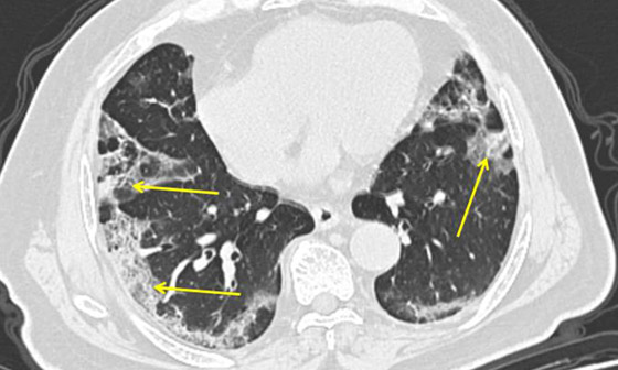
تصوير مقطعي محوسب من مستشفى جامعة جورج واشنطن يُظهر آثار فيروس كورونا المستجد، أو ما يُعرف بـ"كوفيد-19" رئتي رجل عمره 59 عاماً. فشاهدوا معنا في الفيديو المدهش أدناه كيف تبدو رئة مصاب بفيروس كورونا (فيروس كوفيد 19) وما يحصل داخلها..