Farfesh.com
spacer
spacer
spacer
the voice 6
spacer
مسلسلات رمضان 2025
spacer
spacer
spacer

يؤدي للغيبوبة خلال 48 ساعة.. تحذيرات من فيروس نيباه الخطير!

موقع فرفش
23:00  19/04/2021
Share  

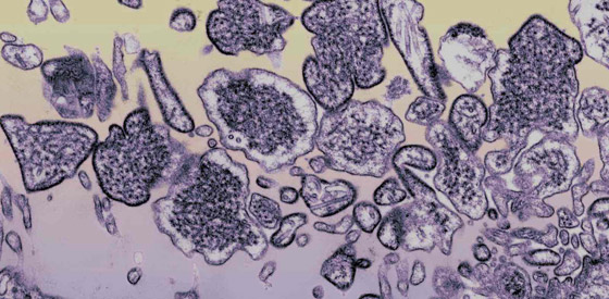
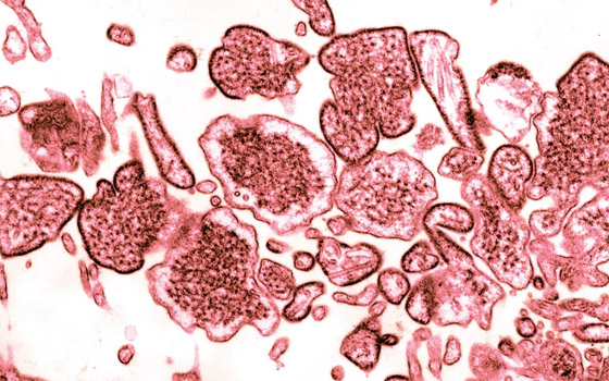
حذرت سلطة الطيران المدني المصري، الأحد، جميع العاملين بمحطات الشركة الوطنية "مصر للطيران"، في مناطق جنوب شرق آسيا، من ظهور فيروس "نيباه" الجديد، المنتشر في كل من الهند وماليزيا وسنغافورة وبنغلاديش. وقالت سلطة الطيران المدني، في منشور توعوي لها، تداولته "مصر للطيران" على صفحات العاملين بها، حول الفيروس، موضحة أنه فيروس حيواني المنشأ ينتقل من الحيوان إلى الإنسان، ويمكن أيضا أن ينتقل عن طريق الطعام الملوث أو مباشرة بين شخص مصاب وآخر سليم.

وأشارت سلطة الطيران، في منشورها، إلى أن طرق عدوى الإصابة بفيروس "نيباه"، هي الاتصال المباشر بالحيوانات المصابة مثل الخفافيش أو الخنازير أو سوائل أجسامها مثل الدم والبول واللعاب، أو ينتقل عن طريق الاتصال الوثيق بشخص مصاب أو سوائل الجسم (قطرات الأنف والجهاز التنفسي والبول)، بالإضافة إلى استهلاك المنتجات الغذائية الملوثة بسوائل جسم الحيوانات المصابة مثل (عصارة النخيل أو الفاكهة الملوثة).

يؤدي للغيبوبة خلال 48 ساعة.. تحذيرات من فيروس نيباه الخطير! صورة رقم 1

وتبدأ الأعراض على المصاب بالظهور خلال 3 إلى 14 يوما بعد التعرض للعدوى، وأقصى فترة حضانة للمرض 45 يوما. تشبه أعراضه الإنفلونزا، حيث يكون هناك حمى وصداع وألم عضلي وتقيؤ والتهاب حلق، ويمكن أن يتبعه دوار ونعاس وتغيير في الحالة الذهنية والتهاب الدماغ الحاد، ويمكن لبعض الأشخاص التعرض لمشاكل حادة في الجهاز التنفسي، ويحدد التهاب الدماغ والنوبات في الحالات الشديدة حيث يتطور إلى غيوبة في غضون من 24 إلى 48 ساعة.

وقدمت سلطة الطيران المدني بعض النصائح للعاملين، في ضوء عدم وجود علاج أو لقاح ضد فيروس "نيباه"، بضرورة عدم ملامسة خفافيش الفاكهة أو الخنازير أو القردة والنسانيس، وعدم تناول لحومها النيئة، بالإضافة إلى ضرورة ارتداء قفازات وملابس واقية عند ملامسة الحيوانات، وتجنب الاتصال الجسدي المباشر مع المرضى المصابين بالفيروس.

يؤدي للغيبوبة خلال 48 ساعة.. تحذيرات من فيروس نيباه الخطير! صورة رقم 2

يؤدي للغيبوبة خلال 48 ساعة.. تحذيرات من فيروس نيباه الخطير! صورة رقم 3

يؤدي للغيبوبة خلال 48 ساعة.. تحذيرات من فيروس نيباه الخطير! صورة رقم 4

يؤدي للغيبوبة خلال 48 ساعة.. تحذيرات من فيروس نيباه الخطير! صورة رقم 5

يؤدي للغيبوبة خلال 48 ساعة.. تحذيرات من فيروس نيباه الخطير! صورة رقم 6

يؤدي للغيبوبة خلال 48 ساعة.. تحذيرات من فيروس نيباه الخطير! صورة رقم 7

يؤدي للغيبوبة خلال 48 ساعة.. تحذيرات من فيروس نيباه الخطير! صورة رقم 8

يؤدي للغيبوبة خلال 48 ساعة.. تحذيرات من فيروس نيباه الخطير! صورة رقم 9

يؤدي للغيبوبة خلال 48 ساعة.. تحذيرات من فيروس نيباه الخطير! صورة رقم 10

يؤدي للغيبوبة خلال 48 ساعة.. تحذيرات من فيروس نيباه الخطير! صورة رقم 11

يؤدي للغيبوبة خلال 48 ساعة.. تحذيرات من فيروس نيباه الخطير! صورة رقم 12

يؤدي للغيبوبة خلال 48 ساعة.. تحذيرات من فيروس نيباه الخطير! صورة رقم 13

يؤدي للغيبوبة خلال 48 ساعة.. تحذيرات من فيروس نيباه الخطير! صورة رقم 14

يؤدي للغيبوبة خلال 48 ساعة.. تحذيرات من فيروس نيباه الخطير! صورة رقم 15

يؤدي للغيبوبة خلال 48 ساعة.. تحذيرات من فيروس نيباه الخطير! صورة رقم 16

الموقع العربي الاول
مسلسلات رمضان 2025
مسلسل The Voice
مسلسل سلمى
مسلسل ميرا وسليم
مسلسل ما تراه ليس كما يبدو
مسلسل امي
مسلسل 220 يوم
مسلسل حلم اشرف
مسلسل اسر
مسلسل فندق الاحلام
مسلسل الكتيبة 101
مسلسل ورق التوت
مسلسل فهد البطل
مسلسل نسمات أيلول
مسلسل الزند ذئب العاصي
مسلسل الحشاشين
مسلسل اكثر من خوات
مسلسل البطل
مسلسل بالدم
مسلسل سيد الناس
مسلسل تحت سابع أرض
مسلسل اش اش
مسلسل حكيم باشا
مسلسل وتقابل حبيب
مسلسل رحمة
مسلسل يوم ملقاك
مسلسل ليالي روكسي
مسلسل لام شمسية
مسلسل الغاوي
مسلسل وش سعد
مسلسل زهرة عمري
مسلسل شغاب
مسلسل نفس
مسلسل ولد ليموت
مسلسل سكواد
مسلسل المسار
مسلسل الحلانجي
مسلسل ما اختلفنا 2
مسلسل رامز أيلون مصر
مسلسل قطع وريد
مسلسل ابن الباشا
مسلسل حامض حلو 6
مسلسل شباب امرأة
مسلسل عابر سبيل
مسلسل مدفع رمضان
مسلسل ظلم المصطبة
مسلسل الباء تحته نقطة
مسلسل السيرك
مسلسل فضة
مسلسل أفكار امي
مسلسل جوما
مسلسل للمعاريس فقط
مسلسل ثلاثين حلقة
مسلسل باب السين
مسلسل واحة الأعرابي
مسلسل ليالي الشميسي
مسلسل ام 44
مسلسل حسبة عمري
مسلسل بيت حموله
مسلسل قهوة المحطة
مسلسل العتاولة 2
مسلسل الزافر
مسلسل يوميات رجل عانس
مسلسل عايشة الدور
مسلسل شهادة معاملة أطفال
مسلسل دنون
مسلسل وديمة وحليمة 4
مسلسل وطن عمري
مسلسل ابو البنات
مسلسل عمتي نوير
مسلسل منتهي الصلاحية
مسلسل نص الشعب اسمه محمد
مسلسل المداح أسطورة العهد
مسلسل قلبي اطمأن 8
مسلسل معاوية
مسلسل الاميرة - ظل حيطة
مسلسل جودر 2
مسلسل اهل الخطايا
مسلسل البوم 2
مسلسل النص
مسلسل اخواتي
مسلسل عقبال عندكوا
مسلسل جريمة منتصف الليل
مسلسل ولاد الشمس
مسلسل كامل العدد 3
مسلسل 80 باكو
مسلسل اشغال شقة جدا 2
مسلسل مليشيات نسائية
مسلسل المحطة