



كشفت صور جديدة بالأشعة السينية عن الفرق الكبير بين رئتي الأشخاص الذين حصلوا على لقاح كورونا والذين لم يحصلوا على اللقاح.
.jpg)
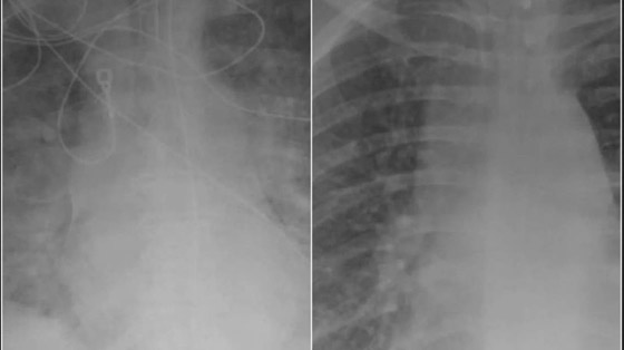
تُظهر عمليات المسح التأثير الصادم لفيروس كورونا على الأعضاء الداخلية للمرضى، حيث قال الأطباء إن الأشخاص غير المطعمين هم من "يصابون بالمرض حقًا". وقال الدكتور سام دوراني من مركز دير فالي الطبي "الأشخاص الوحيدون الذين يمرضون حقًا هم الأشخاص غير المحصنين. وفي كثير من الأحيان يحتاجون إلى التهوية والأكسجين".
.jpg)
وأوضح الدكتور دوراني أن المرضى الذين تم تطعيمهم والذين أصيبوا بفيروس كورونا لديهم المزيد من الهواء المتدفق إلى رئتيهم، مع تلوين الجزء الأكبر من الرئتين باللون الأسود في الفحص، وهذا يعني أن هناك ضررًا ضئيلًا جدًا أو لا يوجد ضرر على الرئتين. وتظهر صورة الفحص من شخص غير محصن أن الرئتين محتقنتان للغاية، مما يحد من تدفق الأكسجين في جميع أنحاء الجسم.
.jpg)
وقال الدكتور دوراني "إذا كان لديك مريض تم تطعيمه يأتي إلى غرفة الطوارئ مصابًا بعدوى غير مسبوقة، ربما يكون لديه ضيق في التنفس، ونقوم بإجراء فحص بالأشعة المقطعية، فستجد أن حالته ليست بنفس سوء حالة المرضى غير المطعمين. وحتى حالات العدوى الخارقة التي ينتهي بها المطاف بالإصابة بالالتهاب الرئوي، فإن فحوصات التصوير المقطعي المحوسب لم تكن سيئة مثل تلك الخاصة بالمرضى غير المطعمين". وتُظهر البيانات من المراكز الأمريكية لمكافحة الأمراض والوقاية منها أن خطر الوفاة من كورونا أعلى بـ 11 مرة بالنسبة للبالغين غير المطعمين من أولئك الذين تم تلقيحهم.
.jpg)
.jpg)
.jpg)
.jpg)
.jpg)